F12, Orchid Metropolis, S.G. Barve Marg, Kurla (E), Mumbai – 400024
Full Mouth Dental Implants

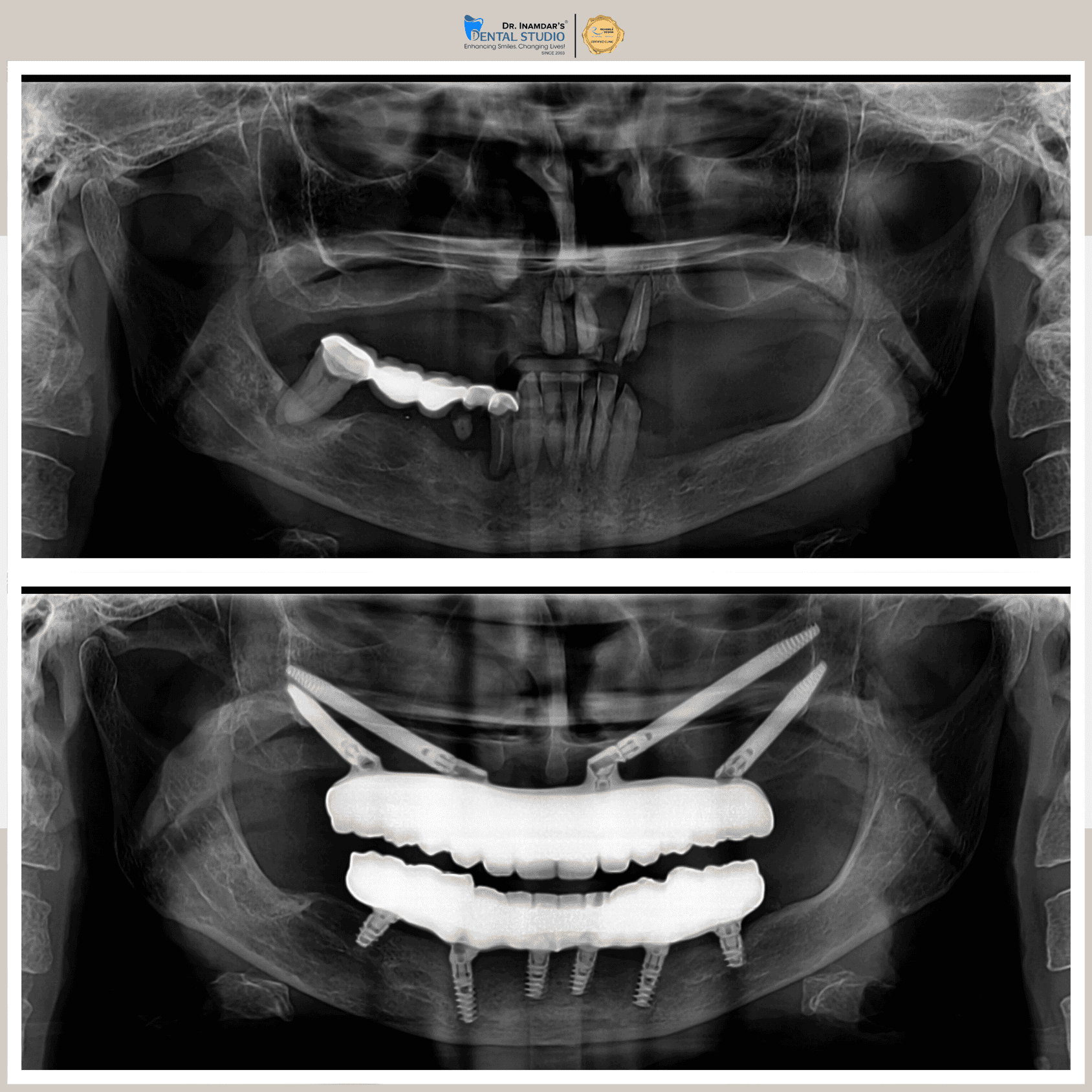
What are full mouth dental implants?

Full mouth dental implants are used to replace all missing teeth in the upper or lower jaw. A series of titanium implants are placed securely in the jawbone, and custom-made ceramic or zirconia crowns, are attached, restoring a full set of functional, natural-looking teeth.

Why are full mouth dental implants becoming popular?

Full mouth dental implants offer a permanent and stable alternative to traditional dentures, eliminating the discomfort and hassle of removable prosthetics. They provide a natural look, improved chewing function, and preserve jawbone health.

What we, at IDS do differently?

At IDS, we specialize in full mouth dental implants using facially driven, digitally planned workflows for unmatched precision and natural aesthetics. Our approach ensures optimal implant positioning, seamless integration with facial features, and long-lasting, functional results. With a focus on patient comfort, we deliver a personalized and transformative smile makeover experience.

Frequently Asked Questions

Dental implants are made of titanium, a material highly compatible with the human body.

Dental implants provide a durable, long-term solution for missing teeth, which is why they are increasingly popular.

The dental implant procedure typically involves placing the implant into the jawbone, followed by a healing period before attaching the crown.

Blog

Explore our latest insights on dentistry from

Digital Smile Design to advanced aesthetic techniques.

For Any Query Contact Us Now

  • Kurla
  • South Mumbai
Your message was sent successfully!
There was an error, please try again.

Dental Clinic in Kurla

Dental Clinic in South Mumbai