F12, Orchid Metropolis, S.G. Barve Marg, Kurla (E), Mumbai – 400024
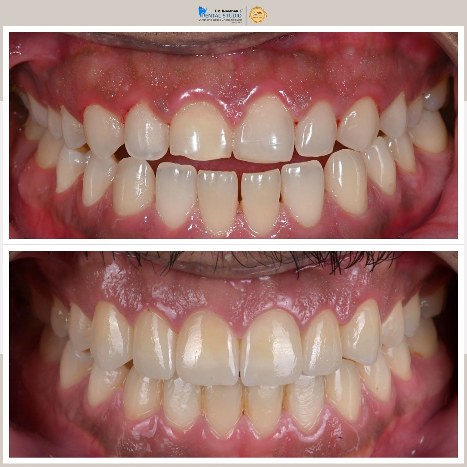
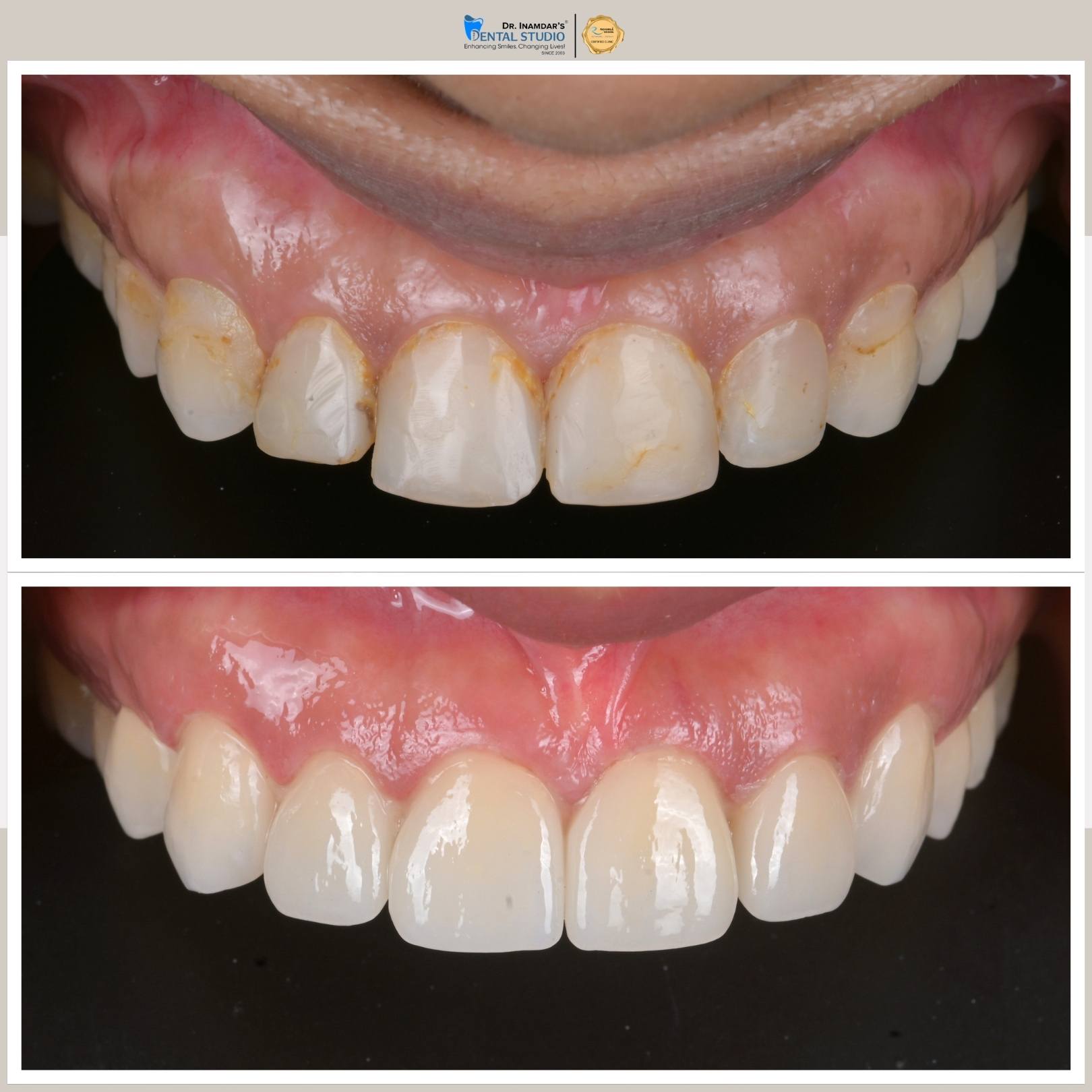
Dental Veneers

What are Dental veneers?

Veneers are a highly effective and minimally invasive solution for transforming your smile. These durable and long-lasting restorations significantly enhance the aesthetics of your teeth while requiring only minimal removal of natural tooth structure. With veneers, you can achieve a flawless, radiant smile in as little as two visits.

Why choose Dental Veneers?

Dental veneers are thin, custom-made shells of porcelain or composite resin that cover the front surface of your teeth. They are designed to improve the appearance of teeth that are discolored, chipped, misaligned, or uneven, providing a natural, flawless smile.

What we, at IDS do differently?

At our clinic, we utilize cutting-edge copy-paste technology and 3D treatment planning to create natural restorations that perfectly replicate the unique characteristics of your teeth. These durable and long-lasting veneers significantly enhance the aesthetics of your smile with minimal removal of natural tooth structure, delivering flawless, radiant results in as little as two visits.

Blog

Explore our latest insights on dentistry from

Digital Smile Design to advanced aesthetic techniques.

For Any Query Contact Us Now

  • Kurla
  • South Mumbai
Your message was sent successfully!
There was an error, please try again.

Dental Clinic in Kurla

Dental Clinic in South Mumbai