Your Trusted Dentist in Mumbai
Dr. Aslam Inamdar is a distinguished leader in digital dentistry and implantology, with over 20 years of clinical expertise. He is known for delivering advanced dental treatments using the latest technology, ensuring both precision and patient comfort.
Co-Founder & Director
Chief Dentist, Kurla
Head Dentist, South Mumbai Branch
From Aesthetics to Advanced Dental Solutions
Discover the best dental care in mumbai with aesthetic dentistry that transforms smiles by correcting imperfections through veneers, bonding, and whitening. These advanced techniques deliver a stunning, natural-looking smile that enhances your appearance and boosts your confidence.

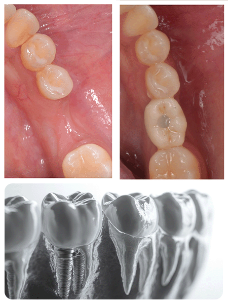
A dental implant is a small titanium screw that is surgically placed into the jawbone, serving as a replacement for a missing tooth root. It provides a secure and durable foundation for a natural-looking replacement tooth, restoring both function and appearance.
General dentistry is dedicated to maintaining your oral health with routine check-ups, professional cleaning, and effective fillings. Our preventive care services are designed to ensure a healthy and radiant smile, addressing issues before they become problems and keeping your teeth and gums in optimal condition.
Crafting beautiful smiles with precision and care, where advanced dental science meets genuine compassion, ensuring every patient receives the highest quality treatment tailored to their unique needs.
See the smiles we've transformed! Discover real stories and results in our digital smile design gallery.
I was very scared doctors encouraged me a lot and reassured me that everything would be fine.
I had gaps in my teeth. Now after braces treatment I got the perfect smile.
Staff ka best behaviour aur other treatments itna easily kiye pata hi nahi chala
Been visiting here since 15 clinic has all the facilities under one roof!
Dr. Inamdar's Dental Studio helped me overcome my fear of dentist. I got back my lost teeth and I'm smiling more than ever
Got my teeth fixed with dental implants. With highest standards of technology & dental services, this clinic treats you with utmost care and precision.
A magnificient experience We glided through the entire treatment extremely smoothly carrying out a number treatments.
Beyond impressed with the care I received. The clinic is immaculate and equipped with state-of the art technology.
A magnificient experience. An experience unlike any other medical experience, right from identifying the problem to treatment planning and doubt clarification.
Satisfied with the outcome of my gum procedure and the straightening of teeth from the comfort of my home.
After showing the test drive of before and after pictures, I got surprised and eventually did my dental implant and smile designing treatments here.
Exceptional service and highly professional behaviour. If you're looking for a skilled and caring dentist this the place to go!
An outstanding experience, with advanced equipment, warm staff and thorough followups. The international standards of care are comparable to USA standards.
What sets Dr.Inamdar's Dental Studio apart is the level of personalized attention and commitment ot patient well being.
At our smile gallery, we showcase the stunning results of our Digital Smile Design. See transformations from single-tooth restorations to full mouth reconstructions, each tailored to enhance natural beauty and facial harmony










DentMatrix Lab is more than a dental laboratory — it’s an interdisciplinary planning partner built for modern dentistry, in India and globally.
Straumann and Nobel Biocare Implant systems known for their reliability and long-term success.
High-precision 3D printing for rapid and accurate creation of dental models, guides, and aligners.
State-of-the-art milling machines for crafting crowns, bridges, and other dental restorations with high accuracy.
Advanced CAD software for designing dental restorations with precision and aesthetic appeal.
Top-quality results with durable equipment and materials from leading German and Swiss brands.