F12, Orchid Metropolis, S.G. Barve Marg, Kurla (E), Mumbai – 400024
Cavity Management

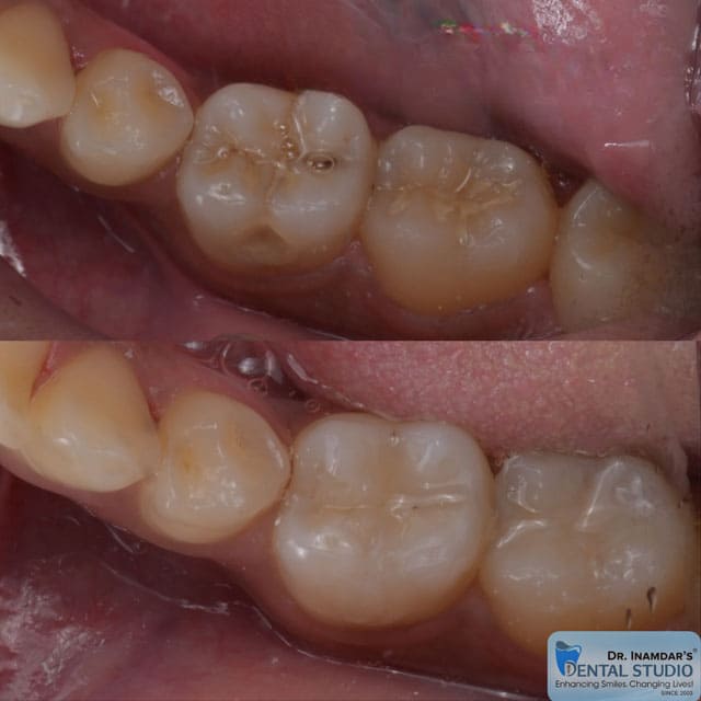
What is Cavity Management?

Cavity management involves the prevention, diagnosis, and treatment of dental cavities (tooth decay). It focuses on addressing early signs of decay, restoring damaged teeth, and providing strategies to prevent further damage. Treatment options can range from simple fillings to more advanced procedures if decay has progressed. The goal is to stop cavities from worsening and to restore the health and function of your teeth.

Why Choose Cavity Management?

Cavity management is crucial for maintaining long-term oral health. By detecting cavities early and intervening promptly, we can prevent further damage and avoid more invasive treatments. Proper management also helps preserve the natural structure of your teeth, ensuring that your smile stays both functional and aesthetically pleasing.

What we, at IDS do differently?

At IDS, we focus on a preventive and proactive approach to cavity management. Using advanced diagnostic tools like digital x-rays and laser technology, we can detect cavities in their earliest stages, often before they are visible to the naked eye. Our personalized care ensures that each patient receives the right treatment tailored to their specific needs, whether it is fluoride treatments, fillings, or more extensive restorative work.

Frequently Asked Questions

Cavities are detected through regular dental check-ups, during which the dentist will examine your teeth visually and may use x-rays or laser tools to find decay that is not visible to the naked eye.

Good oral hygiene practices such as brushing twice a day, flossing daily, and using fluoride toothpaste are key. Regular dental check-ups and a balanced diet low in sugary foods also help prevent cavities.

In the very early stages, cavities can be "reversed" with fluoride treatments and improved oral care, allowing the tooth to remineralize. Once a cavity progresses, it requires professional treatment like fillings.

If left untreated, cavities can worsen, leading to deeper decay, infection, and potentially the loss of the tooth. In some cases, untreated cavities can cause severe pain and require more invasive procedures like root canals or extractions.

Yes, modern dental fillings (like composite or tooth-colored fillings) are safe, durable, and natural-looking, making them an excellent choice for restoring teeth affected by cavities.

For Any Query Contact Us Now

  • Kurla
  • South Mumbai
Your message was sent successfully!
There was an error, please try again.

Dental Clinic in Kurla

Dental Clinic in South Mumbai