F12, Orchid Metropolis, S.G. Barve Marg, Kurla (E), Mumbai – 400024
Braces & Aligners

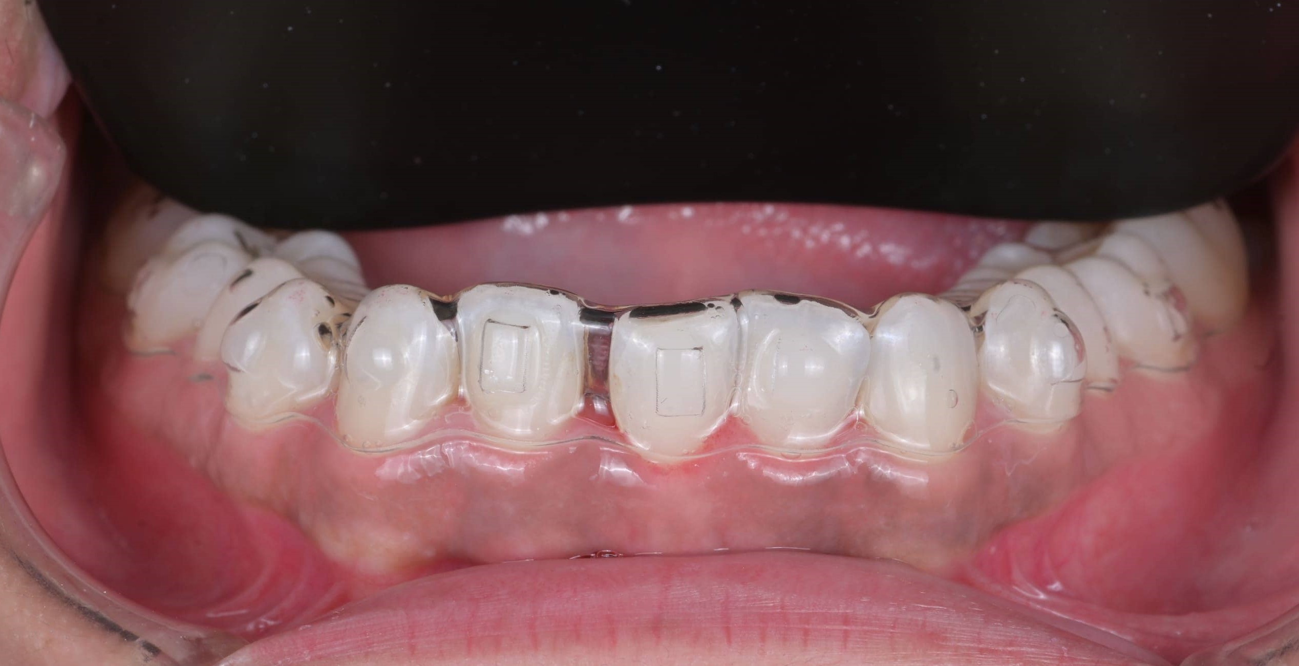
What are Braces & Aligners?

Braces and aligners are orthodontic treatments used to straighten teeth, correct bite issues, and improve the overall appearance of your smile. Braces use metal or ceramic brackets and wires to move teeth into the desired position, while aligners are clear, removable trays that gradually shift teeth without the visibility of traditional braces.

Which to Choose Braces or Aligners?

Braces and aligners are excellent options for improving both the function and aesthetics of your teeth. Braces are highly effective for complex dental issues, while aligners provide a discreet and comfortable solution for mild to moderate misalignment.

What we, at IDS do differently?

At IDS, we prioritize personalized care and precision with every orthodontic treatment. Whether you choose traditional braces or clear aligners, we use advanced technology, such as 3D scanning and digital treatment planning, to create a customized plan tailored to your needs. Our goal is to deliver faster, more comfortable results with minimal discomfort. We ensure that the treatment not only aligns your teeth but enhances your smiles overall harmony, all while focusing on your comfort and convenience throughout the process.

Types of braces & aligners

Frequently Asked Questions

Ideally, you need to get your dental check-up done every six months or at least once a year.

Though it is recommended to go for dental cleaning every 9-12 months, the duration can vary depending on your oral health.

Blog

Explore our latest insights on dentistry from

Digital Smile Design to advanced aesthetic techniques.

For Any Query Contact Us Now

  • Kurla
  • South Mumbai
Your message was sent successfully!
There was an error, please try again.

Dental Clinic in Kurla

Dental Clinic in South Mumbai