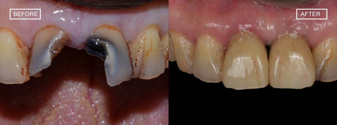
Introduction:
In the ever-evolving landscape of dental care, dental implants stand out as a revolutionary method for replacing missing teeth. Dr. Inamdar’s Dental Studio embraces the transformative power of dental implants, offering patients a conservative, bloodless, and pain-free alternative for restoring their smiles. In this blog post, we’ll explore the intricacies of dental implants, shedding light on why they have become the go-to choice for many patients seeking a fixed and reliable solution.
What is a Dental Implant?
A dental implant mimics the structure of a natural tooth, consisting of a titanium screw that acts as the root and a crown of choice that replaces the visible portion of the tooth. This innovative approach provides a fixed and durable replacement for missing teeth, offering both functionality and aesthetics.
Why Titanium?
Dental implants are crafted from titanium, a material known for its exceptional compatibility with the human body. This ensures a strong and biocompatible foundation for the implant, allowing for seamless integration into the jawbone.

Why Choose Dental Implants?
The popularity of dental implants stems from their conservative nature and versatility. Unlike other procedures, dental implants offer a fixed replacement that closely resembles a natural tooth. This makes them a safe and effective option for single tooth replacement or even entire arch restoration.
.png)
Our Dental Implant Procedure:
1.Assessment with CBCT Scan:
To ensure optimal implant placement, a Cone Beam Computed Tomography (CBCT) scan is performed, assessing the quality and quantity of the bone. This critical step lays the foundation for a successful implant procedure.
2. Precision Planning:
Based on the CBCT scan, the implant placement is meticulously planned. This precision is vital for achieving a favorable prognosis and ensuring the long-term success of the implant.

3. Implant Placement:
The implant is placed with precision, acting as the artificial root for the missing tooth. This phase requires expertise to guarantee proper integration with the bone.

4. Integration Period:
The implanted screw is given approximately three months to integrate fully with the jawbone, ensuring stability and durability.

5.Crown Placement:
After successful integration, the final step involves placing the crown of your choice onto the implant. This crown is customized to match the patient’s natural teeth, providing a seamless and aesthetically pleasing result.

What Sets Dr. Inamdar’s Dental Studio Apart?
At Dr. Inamdar’s Dental Studio, we believe in elevating the standard of precision. Our commitment to excellence is exemplified through the implementation of guided implants – an advanced computer-based technology. This innovative approach determines the optimal position for implant placement, enhancing the overall prognosis of the treatment. Precision isn’t just a goal; it’s our practice ethos.


Differentiating Factor: Bloodless, Pain-free Dental Implants
In addition to our commitment to precision, Dr. Inamdar’s Dental Studio takes dental implants to the next level with a bloodless and pain-free approach. Our advanced techniques minimize discomfort and eliminate the need for traditional surgical methods, offering a more comfortable experience for our patients.

To embark on your journey to a restored smile with precision, expertise, and a bloodless, pain-free approach, contact us and book an appointment at Dr. Inamdar’s Dental Studio. Experience the transformative power of dental implants done differently!
Located in:
Kurla (Mumbai)
Byculla (South Mumbai)
and explore the possibilities of DSD for yourself.
Our team of experienced dentists include Dr. Aslam Inamdar, Dr. Munira Inamdar, Dr. Khalida Ansari and Dr. Alefiya Gheewala, who are highly committed to providing the best dental care tailored to your unique needs.