Detal implant pricing in Mumbai is genuinely confusing because the range is enormous. You will see ads promising implants for ₹15,000 and clinics quoting ₹80,000 for a single tooth. Both exist. Understanding why — and knowing what you are actually paying for — is the difference between a smart decision and an expensive regret.
An implant is not a single product with a single price. It's a multi-step treatment involving:
The implant fixture — the titanium or zirconia post that goes into your bone. This is where brand and material matter most. Globally trusted implant brands (Nobel Biocare, Straumann, BioHorizons, Osstem, Adin, Neo Biotech, MIS) cost more than generic alternatives — but have decades of clinical data behind them and come with manufacturer guarantees.
The abutment — the connector piece between the implant and the crown. Often bundled into the total, but sometimes quoted separately.
The crown — the visible tooth on top. Zirconia crowns are the gold standard today for aesthetics and durability. Older PFM (porcelain-fused-to-metal) crowns are cheaper but show a dark line at the gum over time.
Diagnostic imaging — a 3D CBCT scan is essential for proper implant planning. It reveals bone depth, density, nerve location, and sinus proximity. Clinics that skip this are guessing. This is typically ₹2,000–₹5,000 and is sometimes included in the consultation fee, if done in-House.
Surgical procedure fees — the dentist's time, skill, and the theatre setup. An experienced implantologist with guided surgery technology costs more — and is worth it.
Bone grafting (if needed) — if you don't have enough bone at the implant site, a bone graft is required first. This adds both cost and time to the process.
At Dr. Inamdar's Dental Studio, every implant quote is fully itemised — so you know exactly what each component costs and why. There are no hidden additions between consultation and the final bill.

Here's a realistic, market-aligned price guide for Mumbai:
| Treatment | Approximate Cost Range |
|---|---|
| Single tooth implant (titanium + zirconia crown) | ₹25,000 – ₹60,000 |
| Single tooth implant (premium brand) | ₹55,000 – ₹90,000 |
| Implant with bone graft | ₹40,000 – ₹80,000 |
| All-on-4 (full arch, one jaw) | ₹2,50,000 – ₹5,00,000 |
| All-on-6 (full arch, one jaw) | ₹3,50,000 – ₹6,50,000 |
| Full mouth (both jaws, All-on-4) | ₹5,00,000 – ₹10,00,000 |
| Mini implants (per implant) | ₹12,000 – ₹25,000 |
| CBCT scan (3D imaging) | ₹3,000 – ₹5,000 |
| Bone graft (per site) with membrane | ₹15,000 – ₹40,000 |
These are market ranges — not fixed prices. Your actual cost depends on your clinical situation, the implant brand used, and the specific clinic.
This is the most important question to ask when you see a very low price.
At ₹15,000, something is being compromised. Usually it's one or more of the following:
Generic implant brands with no long-term data, no manufacturer support, and no guarantees if something goes wrong 5 years down the line.
No 3D imaging — the surgery is being done without a proper map of your bone and nerves. This increases the risk of implant failure, nerve damage, and sinus complications.
PFM crown instead of zirconia — looks fine initially, but the metal margin shows through at the gum line over time, ruining the aesthetic.
Less experienced surgeon — implant placement is a skill that takes years to develop. The learning curve has real consequences for patients.
The irony of cheap implants is that failed implants cost far more to fix — or replace — than doing it right the first time.
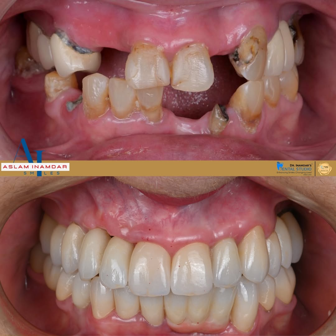
Dr. Inamdar's Dental Studio uses globally certified implant systems and places them using guided, bloodless surgical techniques. The team's training includes advanced international courses specifically in implant aesthetics and full-mouth rehabilitation — which directly translates into better outcomes for patients.
Yes — here are three legitimate strategies:
1. Phased treatment — if you need multiple implants, you don't have to do them all at once. Treating the most critical tooth first and adding more over time spreads the financial load without compromising on quality.
2. EMI and payment plans — many quality dental clinics in Mumbai now offer no-cost or low-cost EMI options through financing partners. Always ask.
3. Dental tourism from abroad — international patients flying to Mumbai for implant treatment often save 60–80% compared to UK, US, or Australian pricing — even after factoring in flights and accommodation. Mumbai's quality-to-cost ratio is among the best in the world.
Dr. Inamdar's Dental Studio regularly treats international patients and NRIs for full-mouth implant rehabilitation. The team provides complete treatment plans with transparent pricing ahead of travel so there are no surprises on arrival.

This part is rarely discussed — but it matters.
Every month you leave a gap where a tooth was, the bone underneath starts to shrink. Adjacent teeth begin to tilt into the space. Your bite shifts. Over time, this creates a cascade of problems — more bone loss, more tilting, more misalignment — that eventually costs significantly more to address than the original implant would have.
An implant isn't just a cosmetic solution. It's bone preservation. And the longer you wait, the more complex (and expensive) the eventual treatment becomes.
Get a proper implant assessment at Dr. Inamdar's Dental Studio — walk in with your questions, walk out with a clear plan and a transparent price. No pressure, no surprises.