In the pursuit of a flawless smile, the prospect of invisible yet effective dental treatment may seem like a dream. Enter clear aligners – a revolutionary solution meticulously crafted to transform your smile discreetly and seamlessly. At Dr. Inamdar’s Dental Studio, we take pride in presenting a state-of-the-art approach to aligner treatment, offering precision, excellence and outstanding results for every individual.
When to Consider Clear Aligners:
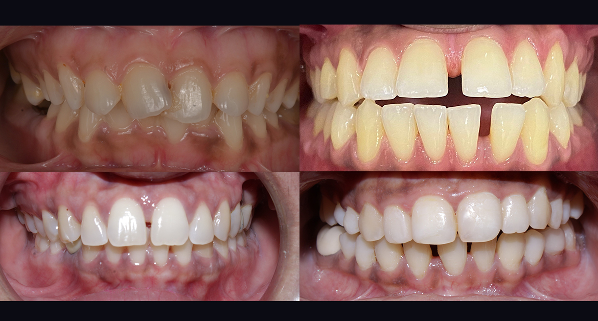
Aesthetic Enhancement: Achieve discreet teeth straightening for a confident smile.
Enhanced Comfort: Enjoy a smooth texture that minimizes irritation to gums and cheeks.
Convenient Removability: Easily eat, brush, and prepare for special occasions with removable aligners.
Alignment Solutions: Address mild to moderate issues like crowding, spacing, and minor bite problems.

Non-Invasive Treatment: Experience fewer office visits and less discomfort compared to traditional braces, for a hassle-free journey to your dream smile.
The Clear Aligner Advantage:
Clear aligners are custom-made trays, digitally designed using state-of-the-art technologies to fit your teeth snugly. Their virtually invisible appearance and effortless removability make them a hassle-free choice, allowing you to maintain your daily routines without disruption. Through gentle, progressive pressure, clear aligners adeptly guide your teeth into alignment, empowering you to exude confidence throughout your transformative journey. Moreover, their removable nature ensures optimal oral hygiene, infusing the process with efficacy and elegance.

What Sets us Apart:
At Dr. Inamdar’s Dental Studio, we elevate the clear aligner experience to unprecedented heights. Here’s how:
1: Planning Excellence:
Our journey begins at our cutting edget in-house planning center, where highly trained professionals utilize advanced software to intricately blueprint each aligner treatment. This level of expertise allows us to customize the treatment plan to your unique dental needs, ensuring optimal outcomes.

2: Complete Control:
Unlike traditional methods involving multiple parties, our team handles everything in-house. This means our doctors have complete control over the exact amount of tooth movement required for your specific case, particularly beneficial in multidisciplinary cases where precise coordination is crucial.
3: Quality Assurance:
We take pride in housing the machinery and armamentarium necessary to process and produce aligner trays of the highest quality. By overseeing this aspect of the treatment process, we guarantee the delivery of premium products that meet our rigorous standards.
4: Aligner Specialist Oversight:
Throughout your aligner journey, an aligner specialist on our team will be dedicated to overseeing and managing every step of the process. This specialist serves as a vital link between our clinicians and you, ensuring transparent communication and alignment of treatment objectives.
5: Personalized Care:
Your comfort, convenience, and contentment are our paramount concerns, prompting us to provide personalized care backed with regular consultations and adjustments to monitor progress and address any concerns.
Transform your smile today:
With our comprehensive approach to aligner treatment, trust that you’re in expert hands every step of the way. Bid adieu to traditional hassles and embrace a revolutionary aligner experience designed to transform your smile with precision, quality, and unparalleled care. Schedule a consultation with us today and embark on the journey towards a confident, resplendent smile courtesy of Dr. Inamdar’s Dental Studio!
Specialist team
We employ in-house doctors who handle all specialized procedures. Our focus extends beyond just dental care to encompass the entire facial structure.
