DIY teeth whitening hacks are everywhere — charcoal powders, lemon juice, baking soda, peroxide strips ordered online. They promise instant results, but what they don’t tell you is the long-term damage they can cause.
At Dr. Inamdar’s Dental Studio, we believe in safe, ethical, and science-backed dentistry. Let’s break down what actually works, what doesn’t, and how to whiten your teeth without harming them.
Most DIY methods only remove surface stains temporarily. They do not change the internal colour of the tooth.
What they often do instead:
• Scratch enamel
• Increase sensitivity
• Thin the protective tooth layer
• Make teeth stain faster later
So while teeth may look “brighter” briefly, the damage is cumulative.
Charcoal is highly abrasive.
Repeated use leads to:
• Micro-scratches on enamel
• Dull, rough tooth surfaces
• Higher sensitivity
• Faster future staining
It polishes away enamel — not stains. Once enamel is gone, it never grows back.
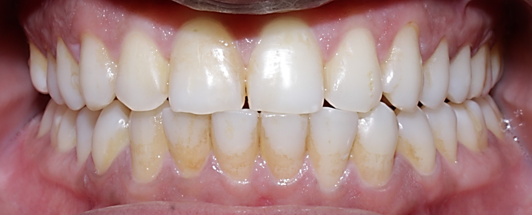
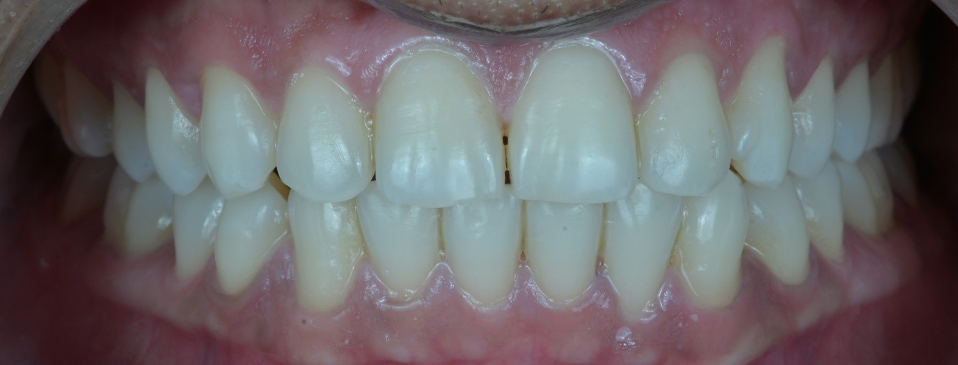
Before trusting us, check the stories of our patients and their journeys to brighter, healthier smiles.
These are among the most damaging DIY methods.
• Lemon → Acid erosion (permanent enamel loss)
• Baking soda → Excessive abrasion
• Unregulated peroxide strips → Gum burns + uneven whitening
DIY whitening often causes more harm than visible benefit.
Safe whitening must be:
• Enamel-protective
• Professionally controlled
• Matched to your natural tooth shade
• Combined with gum protection
That’s why professional teeth whitening at Dr. Inamdar’s Dental Studio in Mumbai is the gold standard.
At our clinic, whitening includes:
• Digital shade analysis
• Controlled whitening gels
• Sensitivity-free protocols
• Laser or accelerated systems (when needed)
• Post-whitening enamel care
This ensures natural brightness, not artificial white.
Because whitening isn’t just cosmetic — it’s biological care.
We combine:
• Facially driven smile analysis
• Advanced 3D diagnostics
• Customised ethical treatment planning
• Painless dentistry protocols
• Tailored whitening — never overdone
Our goal is a smile that’s bright, healthy, and ages beautifully.
DIY whitening may look tempting, but shortcuts often cost more in the long run — sensitivity, damage, and regret.
If you want safe, predictable results, always choose professional teeth whitening in Mumbai performed with science, technology, and integrity.
Book your whitening consultation at Dr. Inamdar’s Dental Studio and brighten your smile the right way.
Dr. Inamdar’s Dental Studio – Ethical Care. Digital Precision. Smiles That Last.
Before After Result of Teeth Whitening at our dental clinic in Mumbai

