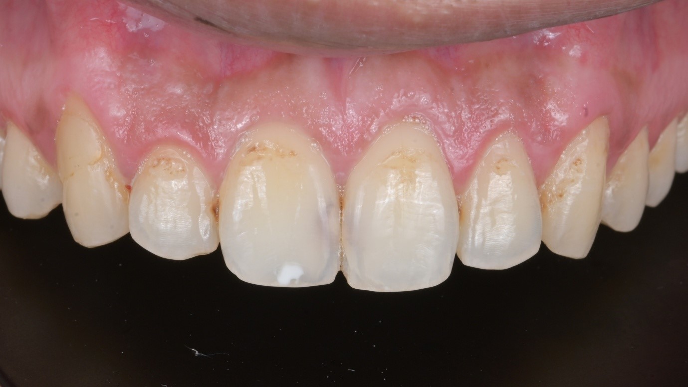
Many people believe cavities are a “young person’s problem.” In reality, tooth decay after 40 is extremely common — and often more aggressive. Changes in saliva, gum health, stress, and past dental work make teeth more vulnerable than ever.
At Dr. Inamdar’s Dental Studio, we focus on prevention-first dentistry backed by digital precision and compassionate care. Here’s how you can protect your smile long-term with simple, effective habits.
As we age, several factors come into play:
• Reduced saliva flow
• Gum recession exposing root surfaces
• Old fillings breaking down
• Higher stress and teeth grinding
• Medications causing dry mouth
These make cavity management more important than ever — waiting for pain is no longer an option.
Small changes make a big impact:
✔ Brush twice daily with a soft brush
✔ Use fluoride toothpaste or customised toothpaste, in accordance to the issue persisting then.
✔ Floss or use interdental brushes daily
✔ Rinse with water after meals
✔ Avoid frequent fast food snacking, opt for good dietary foods.
✔ Stay hydrated to support saliva flow
Consistency matters more than intensity.
Extremely important.
No home routine can remove hardened plaque (tartar). That’s where dental cleanup comes in.
Professional cleaning helps:
Most adults benefit from professional teeth cleaning in Mumbai every 3 to 6 months — or more frequently if advised, depending on gum health.
In early stages — yes.
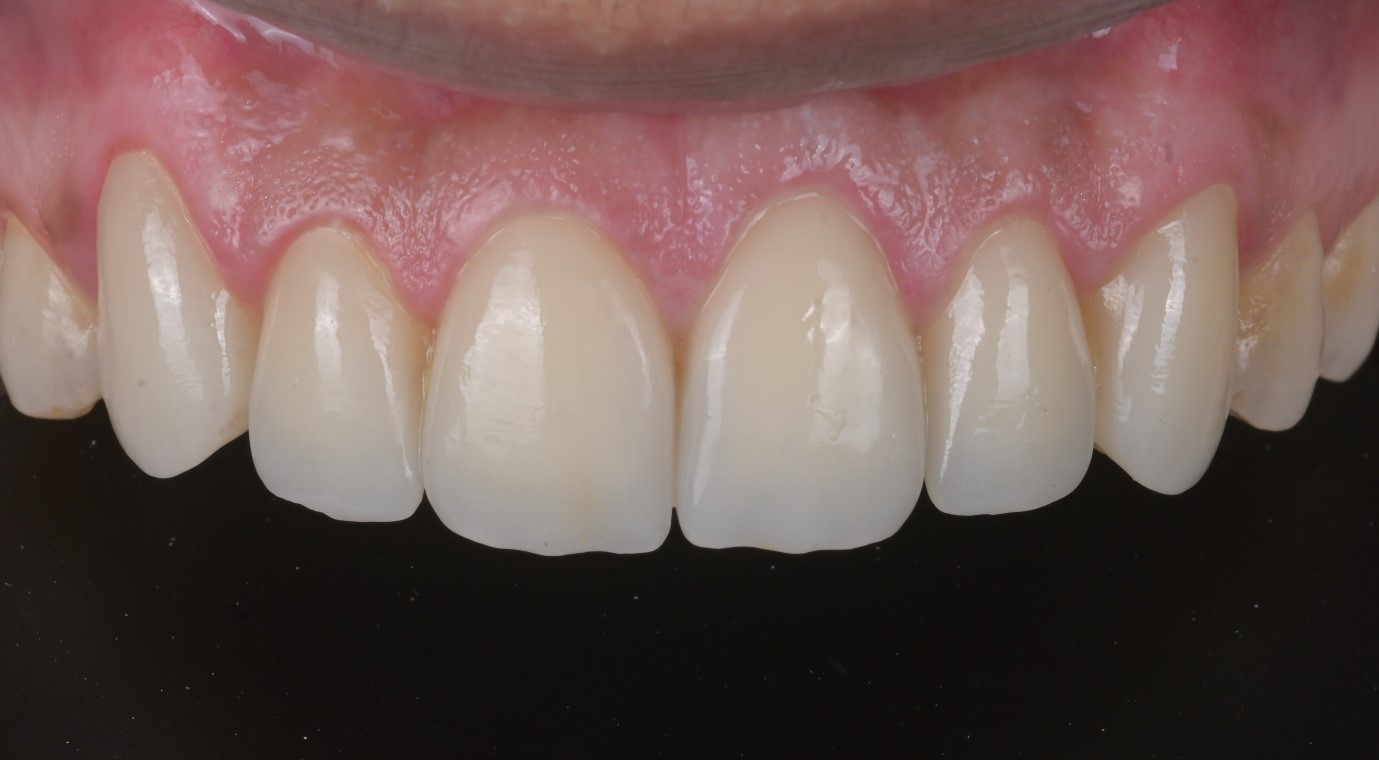
With modern cavity management, we can:
• Use remineralization strategies- Fluoride therapy in clinic, remineralization gels at home
• Apply sealants.
• Modify diet and habits
• Monitor decay digitally
• BioMin toothpaste works by releasing calcium, phosphate, and fluoride (in BioMin F) ions over 12 hours, forming a protective fluorapatite layer that mimics natural enamel, repairing early decay, reducing sensitivity by sealing dentinal tubules, and increasing acid resistance through "smart" dissolution in acidic conditions
The goal is to intercept cavities early, before they need fillings or root canals.
Pay attention to:
• Tooth sensitivity
• Bleeding gums
• Food getting stuck
• Bad breath
• Old fillings feeling rough
• Gum recession
Early diagnosis makes treatment simpler, faster, and painless.
Because prevention here is precise and personalized. We use:
Our approach protects not just your teeth, but your long-term comfort and confidence.
Here know why our patients love us!
Tooth decay after 40 isn’t inevitable — it’s manageable. With the right daily habits, regular professional teeth cleaning in Mumbai, and early intervention, your smile can stay strong for decades.
Prevention is always easier, gentler, and more cost-effective than repair.
Book your preventive consultation at Dr. Inamdar’s Dental Studio and take control of your oral health today.
Dr. Inamdar’s Dental Studio – Ethical Care. Digital Precision. Smiles That Last.

